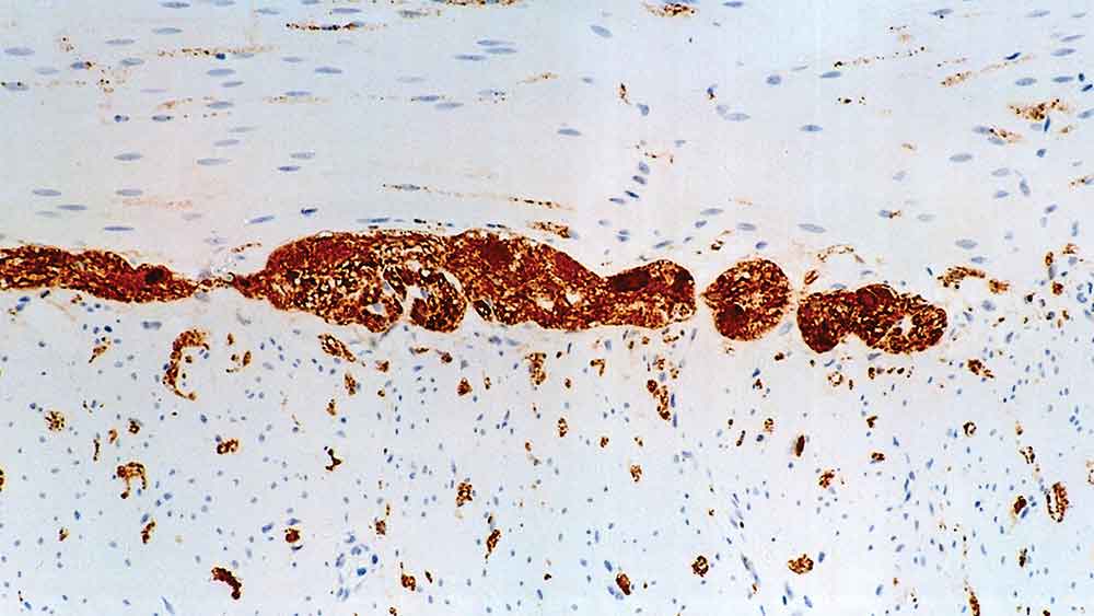
Human colon: immunohistochemical staining of Protein Gene Product 9.5. Note the staining in the neuronal elements and the ganglia of the longitudinal and circular smooth muscle. Protein Gene Product 9.5: clone 10A1

Protein Gene Product 9.5

Antigen Background

Protein gene product (PGP) 9.5 is a neuron-specific protein, structurally and immunologically distinct from neuron specific enolase. The protein which has a molecular weight of 27 kD was first identified by high resolution two dimensional PAGE. PGP9.5 expression has been reported in neurons and nerve fibers at all levels of the central and peripheral nervous system, in many neuroendocrine cells, in segments of the renal tubules, in spermatogonia and Leydig cells of the testis, in ova and in some cells of both the pregnant and non-pregnant corpus luteum. PGP9.5 is a member of the ubiquitin C-terminal hydroxylase family and is also concentrated within inclusion bodies suggesting that such structures may be metabolically active regions of the cells.

Disclaimer

Protein Gene Product 9.5 is recommended for the detection of specific antigens of interest in normal and neoplastic tissues, as an adjunct to conventional histopathology using non-immunologic histochemical stains.

Veuillez vous connecter ou créer un compte
pous voir le prix de ce produit.
ou DEMANDEZ un devis groupé.
We are currently updating the product codes for a number of our Advanced Staining reagents. From January 2023 you will begin to receive products with a –U, –A or –X suffix (e.g. PAxxxx-U).

Please see here for more information

Produits

Produits

PA0286-U
7ml PGP 9.5 Bond RTU Primary
En stock
Ships via Overnight
Veuillez vous connecter ou créer un compte
pous voir le prix de ce produit.
ou DEMANDEZ un devis groupé.
PGP9.5-L-U
1ml NCL-L-PGP9.5
En stock
Ships via Overnight
Veuillez vous connecter ou créer un compte
pous voir le prix de ce produit.
ou DEMANDEZ un devis groupé.

Téléchargements

Téléchargements

PA0286-U

PGP9.5-L-U

Recently Viewed