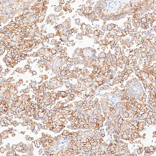
Mesothelioma: DAB staining of Podoplanin. Clone D2-40. Scanned using Aperio GT450.

Podoplanin

Antigen Background

Podoplanin is a transmembrane glycoprotein expressed in a variety of tissues, performing many roles within the body. Among these, it contributes to the promotion of lymphatic vasogenesis. As such, it is a sensitive marker of lymphatic differentiation, a useful tool when evaluating tumors with a vascular component. When used alongside other markers, it has been shown to aid in the differential diagnosis of mesothelioma (positive) versus adenocarcinoma (negative), and seminoma (positive) versus nonseminoma (negative), among other conditions. 

 

Disclaimer

Podoplanin is recommended for the detection of specific antigens of interest in normal and neoplastic tissues, as an adjunct to conventional histopathology using non-immunologic histochemical stains.

Veuillez vous connecter ou créer un compte
pous voir le prix de ce produit.
ou DEMANDEZ un devis groupé.

Produits

Produits

PA0240-U
7mL Podoplanin (D2-40) Bond RTU
En stock
Ships via Overnight
Veuillez vous connecter ou créer un compte
pous voir le prix de ce produit.
ou DEMANDEZ un devis groupé.

Téléchargements

Téléchargements

PA0240-U

Recently Viewed