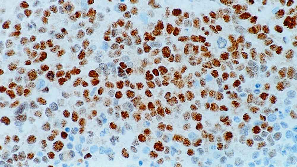
Human rhabdomyosarcoma: immunohistochemical staining for Myf-4 protein. Note staining of a proportion of tumor cell nuclei. Myogenin (Myf-4): clone LO26

Myogenin (Myf-4)

Antigen Background

Rhabdomyosarcomas are a class of myoblast-derived soft tissue sarcomas that usually express a number of muscle-specific genes and primarily affect children and young adults. Differentiation of myogenic cells is controlled by a set of regulatory genes including MyoD1, myogenin, Myf-5 and Myf-6. Myf-4 is the human homolog of myogenin. Its gene product, together with that of Myf-3, accumulates in the nucleus of differentiated cells.

Disclaimer

Myogenin (Myf-4) is recommended for the detection of specific antigens of interest in normal and neoplastic tissues, as an adjunct to conventional histopathology using non-immunologic histochemical stains.

Veuillez vous connecter ou créer un compte
pous voir le prix de ce produit.
ou DEMANDEZ un devis groupé.
We are currently updating the product codes for a number of our Advanced Staining reagents. From January 2023 you will begin to receive products with a –U, –A or –X suffix (e.g. PAxxxx-U).

Please see here for more information

Produits

Produits

PA0226-U
7ml Myf-4 Bond RTU Primary
En stock
Ships via Overnight
Veuillez vous connecter ou créer un compte
pous voir le prix de ce produit.
ou DEMANDEZ un devis groupé.
MYF-4-L-U
1ML NCL-L-Myf-4
En stock
Ships via Overnight
Veuillez vous connecter ou créer un compte
pous voir le prix de ce produit.
ou DEMANDEZ un devis groupé.

Téléchargements

Téléchargements

PA0226-U

MYF-4-L-U

Recently Viewed