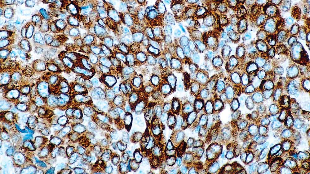
Human skin, melanoma: immunohistochemical staining for Melan A. Note the melanoma showing cytoplasmic staining of tumor cells. Melan A: clone A103

Melan A

Antigen Background

Melan A, a product of the MART-1 gene, is a melanocyte differentiation marker recognized by autologous cytotoxic T lymphocytes. Other melanoma-associated markers recognized by autologous cytotoxic T cells are reported to include MAGE-1, MAGE-3, tyrosinase, gp100, gp75, BAGE-1 and GAGE-1. The analysis of these different molecules and their expression in individual melanomas may be of help in the study of their particular molecular roles in melanocyte differentiation and tumorigenesis.

Disclaimer

Melan A is recommended for the detection of specific antigens of interest in normal and neoplastic tissues, as an adjunct to conventional histopathology using non-immunologic histochemical stains.

Veuillez vous connecter ou créer un compte
pous voir le prix de ce produit.
ou DEMANDEZ un devis groupé.
We are currently updating the product codes for a number of our Advanced Staining reagents. From January 2023 you will begin to receive products with a –U, –A or –X suffix (e.g. PAxxxx-U).

Please see here for more information

Produits

Produits

MELANA-L-U
1ml NCL-L-MelanA
En stock
Ships via Overnight
Veuillez vous connecter ou créer un compte
pous voir le prix de ce produit.
ou DEMANDEZ un devis groupé.
PA0233-U
7ml Melan A Bond RTU Primary
En stock
Ships via Overnight
Veuillez vous connecter ou créer un compte
pous voir le prix de ce produit.
ou DEMANDEZ un devis groupé.
PA0044-U
30ml Melan A Bond RTU Primary
Stock limité (Plus de détails)
Ships via Overnight
Veuillez vous connecter ou créer un compte
pous voir le prix de ce produit.
ou DEMANDEZ un devis groupé.

Téléchargements

Téléchargements

MELANA-L-U

PA0233-U

PA0044-U

Recently Viewed