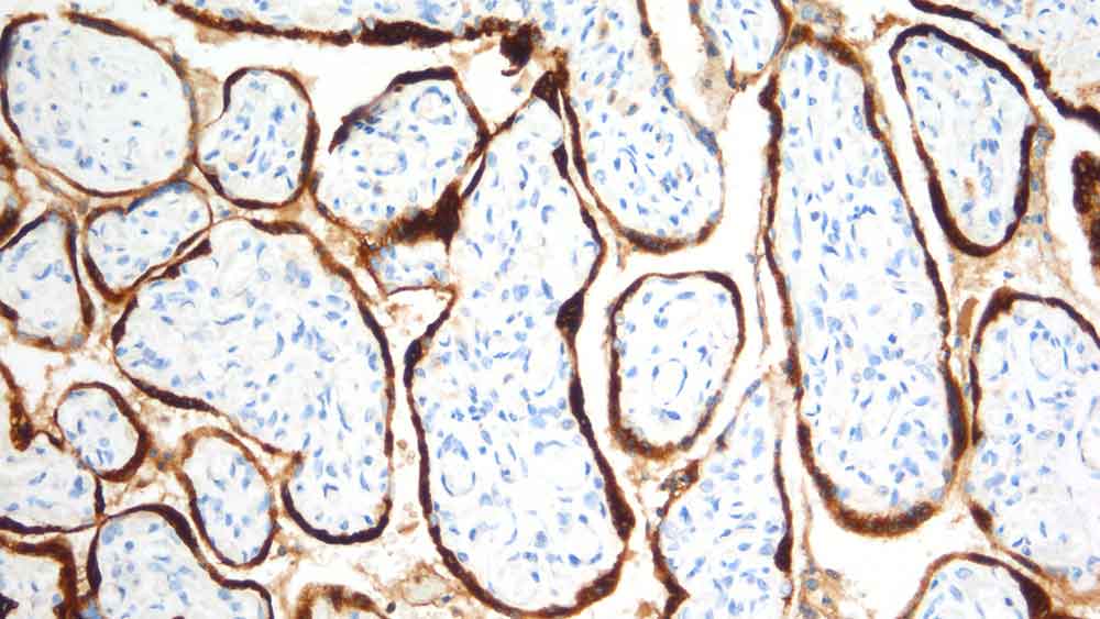
Human placenta: immunohistochemical staining with Human Chorionic Gonadotrophin (beta): Polyclonal

Human Chorionic Gonadotrophin (beta)

Antigen Background
Human chorionic gonadotrophin (hCG) is a glycoprotein hormone produced by trophoblastic cells of the placenta beginning 10 to 12 days after conception. Maintenance of the fetus in the first trimester of pregnancy requires the production of hCG, which binds to the corpus luteum of the ovary which is stimulated to produce progesterone which in turn maintains the secretory endometrium. hCG is composed of two subunits, alpha and beta. The alpha subunit of hCG is identical to the subunit of luteinizing hormone, thyroid stimulating hormone and follicle stimulating hormone. The common alpha chain and the hormone-specific beta chains have molecular weights of 14 kD and 17 kD, respectively. The hCG beta-subunit is unique in the family of beta-containing glycoprotein hormones in that it contains an extension of 29 amino acids at its COOH end. It is believed that the C-terminal region of the HCG-beta subunit plays a role in the intracellular behavior of the heterodimer.

Product Specific Information
HCGp was raised to the isolated beta-chain of human chorionic gonadotrophin and reacts with placental trophoblasts. HCGp shows a slight cross-reaction with luteinizing hormone and may, therefore, stain basophil cells in the pituitary.

Disclaimer
Human Chorionic Gonadotrophin (beta) is recommended for the detection of specific antigens of interest in normal and neoplastic tissues, as an adjunct to conventional histopathology using non-immunologic histochemical stains.

Veuillez vous connecter ou créer un compte
pous voir le prix de ce produit.
ou DEMANDEZ un devis groupé.
We are currently updating the product codes for a number of our Advanced Staining reagents. From January 2023 you will begin to receive products with a –U, –A or –X suffix (e.g. PAxxxx-U).

Please see here for more information

Produits

Produits

PA0014-U
7ml HCG Bond RTU Primary
En stock
Ships via Overnight
Veuillez vous connecter ou créer un compte
pous voir le prix de ce produit.
ou DEMANDEZ un devis groupé.

Téléchargements

Téléchargements

PA0014-U

Recently Viewed