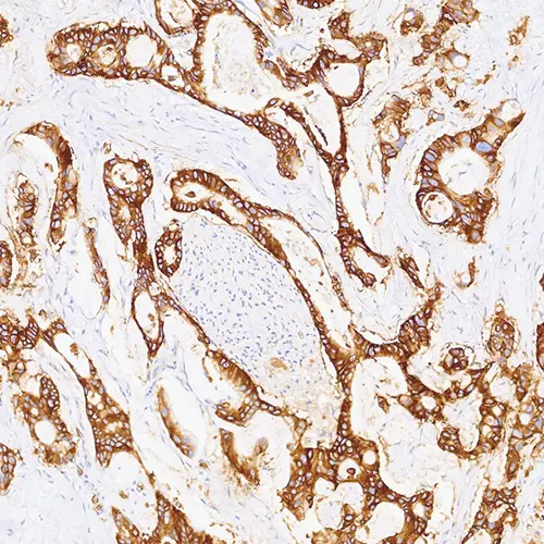
Colorectal cancer: GLUT1 clone GLUT1/2475.

GLUT1

Antigen Background
Glucose Transporter 1 is a membrane protein that facilitates the uptake of glucose. It is expressed ubiquitously, with levels of cellular expression correlating with rates of glucose metabolism. As such it is most highly expressed in normal erythrocytes and endothelial cells, and it is therefore a useful marker of such tissues. GLUT1 immunohistochemistry may aid in differentiating infantile hemangioma from other vascular malformations. It has also been shown to be useful in differentiating reactive mesothelium and malignant mesothelioma.

Disclaimer
GLUT1 is recommended for the detection of specific antigens of interest in normal and neoplastic tissues, as an adjunct to conventional histopathology using non‐immunologic histochemical stains.

Veuillez vous connecter ou créer un compte
pous voir le prix de ce produit.
ou DEMANDEZ un devis groupé.

Produits

Produits

PA0866-U
7mL GLUT1 (GLUT1/2475) Bond RTU
En stock
Ships via Overnight
Veuillez vous connecter ou créer un compte
pous voir le prix de ce produit.
ou DEMANDEZ un devis groupé.

Téléchargements

Téléchargements

PA0866-U

Recently Viewed