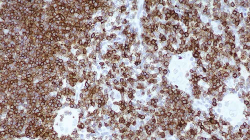
T cell lymphoma: immunohistochemical staining for CD7. Note the intense membrane staining of tumor cells. CD7: clone LP15

CD7

Antigen Background

The CD7 molecule is a membrane-bound glycoprotein of 40 kD and is the earliest T cell specific antigen to be expressed in lymphocytes. CD7 antigen is also the only early marker to persist throughout differentiation. The function and role of the CD7 molecule have not yet been fully identified, although the activation of T cells with gamma/delta receptors has been proposed based on mAb-induced activation. The CD7 antigen is reported to be found on the majority of peripheral blood T cells, most natural killer cells and thymocytes.

Disclaimer

CD7 is recommended for the detection of specific antigens of interest in normal and neoplastic tissues, as an adjunct to conventional histopathology using non-immunologic histochemical stains.

Veuillez vous connecter ou créer un compte
pous voir le prix de ce produit.
ou DEMANDEZ un devis groupé.
We are currently updating the product codes for a number of our Advanced Staining reagents. From January 2023 you will begin to receive products with a –U, –A or –X suffix (e.g. PAxxxx-U).

Please see here for more information

Produits

Produits

CD7-580-L-U
1ml NCL-L-CD7-580
Stock limité (Plus de détails)
Ships via Overnight
Veuillez vous connecter ou créer un compte
pous voir le prix de ce produit.
ou DEMANDEZ un devis groupé.
PA0266-U
7ml CD7 Bond RTU Primary
En stock
Ships via Overnight
Veuillez vous connecter ou créer un compte
pous voir le prix de ce produit.
ou DEMANDEZ un devis groupé.

Téléchargements

Téléchargements

CD7-580-L-U

PA0266-U

Recently Viewed