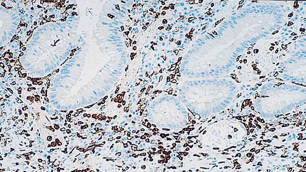
Human colon, ulcerative colitis: immunohistochemical staining for CD16. Note intense membrane staining of infiltrating natural killer cells, granulocytes and activated macrophages. CD16: clone 2H7

CD16

Antigen Background

CD16 antigen has a molecular weight of 50 to 70 kD and is a low affinity Fc receptor for complexed IgG, Fc/gamma RIII, expressed on natural killer (NK) cells, granulocytes, activated macrophages and a subset of T cells expressing alpha-beta or gamma-delta T cell antigen receptors. The CD16 antigen exists both as a glycosyl-phosphatidylinositol (GPI)-anchored protein in polymorphonuclear cells and as a transmembrane protein in NK cells.

Disclaimer

CD16 is recommended for the detection of specific antigens of interest in normal and neoplastic tissues, as an adjunct to conventional histopathology using non-immunologic histochemical stains.

Veuillez vous connecter ou créer un compte
pous voir le prix de ce produit.
ou DEMANDEZ un devis groupé.

Produits

Produits

CD16-L-U
1ml NCL-L-CD16
Stock limité (Plus de détails)
Ships via Overnight
Veuillez vous connecter ou créer un compte
pous voir le prix de ce produit.
ou DEMANDEZ un devis groupé.

Téléchargements

Téléchargements

CD16-L-U

Recently Viewed