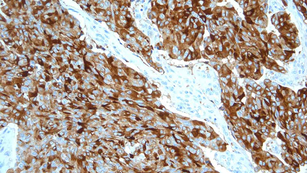
Human medullary thyroid carcinoma: immunohistochemical staining for Calcitonin. Calcitonin: clone CL1948

Calcitonin

Antigen Background

Calcitonin (CT) is a 32 amino acid peptide synthesized by the parafollicular C cells of the thyroid. It acts through its receptors to inhibit osteoclast mediated bone resorption, decrease calcium resorption by the kidney and decrease calcium absorption by the intestines. The action of calcitonin is therefore to cause a reduction in serum calcium, an effect opposite to that of parathyroid hormone. The calcitonin gene transcript also encodes the calcitonin gene-related peptide (CGRP), which is thought to be a potent vasodilator. The tissue specificity of the transcript produced depends on alternative splicing of the CT/CGRP gene transcript. In the parafollicular cells of the thyroid 95% of the CT/CGRP is processed and translated to produce CT, however, in neuronal cells 99% of the CT/CGRP RNA is translated into CGRP. The C cells of the thyroid give rise to an endocrine tumor, medullary thyroid carcinoma (MTC), which occurs in a sporadic (75% of cases) and hereditary form (25% of cases). Familial MTC is associated with C cell hyperplasia (CCH), whereas sporadic MTC is thought not to be. However, in the general population CCH is present in 20-30% of thyroid glands, either with normal histology, thyroiditis or follicular tumors.

Disclaimer

Calcitonin is recommended for the detection of specific antigens of interest in normal and neoplastic tissues, as an adjunct to conventional histopathology using non-immunologic histochemical stains. 

Veuillez vous connecter ou créer un compte
pous voir le prix de ce produit.
ou DEMANDEZ un devis groupé.
We are currently updating the product codes for a number of our Advanced Staining reagents. From January 2023 you will begin to receive products with a –U, –A or –X suffix (e.g. PAxxxx-U).

Please see here for more information

Produits

Produits

PA0406-U
7ml Calcitonin Bond RTU Prim
En stock
Ships via Overnight
Veuillez vous connecter ou créer un compte
pous voir le prix de ce produit.
ou DEMANDEZ un devis groupé.
CALCITONIN-L-U
1ml NCL-L-Calcitonin
Stock limité (Plus de détails)
Ships via Overnight
Veuillez vous connecter ou créer un compte
pous voir le prix de ce produit.
ou DEMANDEZ un devis groupé.

Téléchargements

Téléchargements

PA0406-U

CALCITONIN-L-U

Recently Viewed