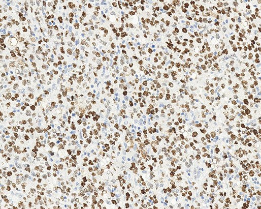
Human diffuse large B cell lymphoma: The majority of neoplastic cells show a moderate to strong nuclear staining reaction. Bcl-6: clone LN22

Bcl-6 Oncoprotein

Antigen Background

Bcl-6 is a proto-oncogene that encodes a Kruppel-type zinc-finger protein of 95 kD and shares homology with other transcription factors. Bcl-6 protein is mainly expressed in normal germinal center B cells and related lymphomas. It has been shown that the Bcl-6 proto-oncogene is involved in chromosome rearrangements at 3q27 in non-Hodgkin's lymphomas and Bcl-6 rearrangements have also been detected in 33-45% of diffuse large B cell lymphomas. Immunohistochemistry has been reported to show the Bcl-6 gene product to be detectable in follicular lymphomas, diffuse large B cell lymphomas, Burkitt's lymphomas and in nodular, lymphocyte predominant Hodgkin's disease.

Disclaimer

Bcl-6 Oncoprotein is recommended for the detection of specific antigens of interest in normal and neoplastic tissues, as an adjunct to conventional histopathology using non-immunologic histochemical stains.
Veuillez vous connecter ou créer un compte
pous voir le prix de ce produit.
ou DEMANDEZ un devis groupé.
We are currently updating the product codes for a number of our Advanced Staining reagents. From January 2023 you will begin to receive products with a –U, –A or –X suffix (e.g. PAxxxx-U).

Please see here for more information

Produits

Produits

BCL-6-564-L-U
1ml NCL-L-Bcl-6-564
En stock
Ships via Overnight
Veuillez vous connecter ou créer un compte
pous voir le prix de ce produit.
ou DEMANDEZ un devis groupé.
PA0204-U
7ml Bcl-6 Bond RTU Primary
En stock
Ships via Overnight
Veuillez vous connecter ou créer un compte
pous voir le prix de ce produit.
ou DEMANDEZ un devis groupé.

Téléchargements

Téléchargements

BCL-6-564-L-U

PA0204-U

Recently Viewed