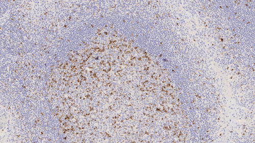
Human Tonsil: immunohistochemistry staining of CTLA-4. CTLA-4: clone CAL49
Human Tonsil: immunohistochemistry staining of CTLA-4. CTLA-4: clone CAL49
CTLA-4
Antigen Background CTLA-4, T-cell co-receptor cytotoxic T-cell antigen-4 (CTLA-4, CD152) is a critical inhibitory regulator of T-cell immunity. CTLA-4 is expressed almost exclusively on CD4+ and CD8+ T-cells and is crucial in the maintenance of T-cell homeostasis. Expression is induced on activated T-cells, with marginal expression on resting cells. The role of CTLA-4 in regulation of T-cell activity in the tumor microenvironment indicates a potential role in control of tumor progression
Disclaimer CTLA-4 is recommended for the detection of specific antigens of interest in normal and neoplastic tissues, as an adjunct to conventional histopathology using non-immunologic histochemical stains.
Produits
Produits
PA0181
7mL CTLA-4 (CAL49) BOND RTU Primary
Product is out of stock
Due to manufacturing & supply chain issues, this product is currently unavailable. You may place your order and it will be fulfilled when the product is back in stock. For more help, please reach out to customer service at +1 844 534 2262 or nonurgentcs@leicabiosystems.com
Nous avons un stock limité de ce produit
Nous avons un stock limité de ce produit, mais nos produits sont continuellement en fabrication. Votre commande sera traitée, mais le délai de livraison risque dêtre un peu plus long pour cette commande.