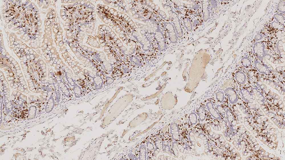
Human normal small bowel immunohistochemistry staining of CD103. Note membrane and cytoplasmic staining of Intraepithelial T lymphocytes. CD103: clone EP206

CD103

Antigen Background

CD103, also known as alpha E integrin & human mucosal lymphocyte antigen 1, is an integrin protein with expression on intraepithelial T cells & some peripheral regulatory T cells. CD103 is expressed at high levels on tumour-infiltrating FOXP3-positive regulatory T cells in cancer and CD103-positive T cells are strongly associated with patient survival in high-grade serous ovarian cancer.

CD103 expression has been suggested as a definitive marker of intraepithelial, tumour-specific infiltrating lymphocytes. In addition, CD103-positive cells have also been identified in a small proportion of breast cancers.

Disclaimer
CD103 is recommended for the detection of specific antigens of interest in normal and neoplastic tissues, as an adjunct to conventional histopathology using non-immunologic histochemical stains.

Produits

Produits

PA0374
7ml CD103 (EP206) Bond RTU Primary

Téléchargements

Téléchargements

PA0374

Recently Viewed