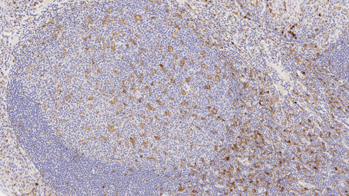
Human Tonsil: Immunohistochemistry staining of TIM-3. TIM-3: clone EPR22241

TIM-3

Antigen Background
TIM-3 (T-cell Immunoglobulin and Mucin Domain-Containing 3, Hepatitis A Virus Cellular Receptor, HAVCR2). TIM-3 is a Type I transmembrane that can be expressed on both tumor and immune cells. It is expressed on multiple immune cells, including type 1 T helper (Th1) cells, Th17 and CD8+ T cells, Tumor Infiltrating Lymphocytes, regulatory T cells (Tregs) and innate immune cells.

Disclaimer
TIM-3 is recommended for the detection of specific antigens of interest in normal and neoplastic tissues, as an adjunct to conventional histopathology using non-immunologic histochemical stains.

Productos

Productos

PA0360-U
7mL TIM-3 (EPR22241) BOND RTU Primary
Disponibilidad del país
PA0360
7mL TIM-3 (EPR22241) BOND RTU Primary
Disponibilidad del país

Downloads

Downloads

PA0360-U

PA0360

Recently Viewed