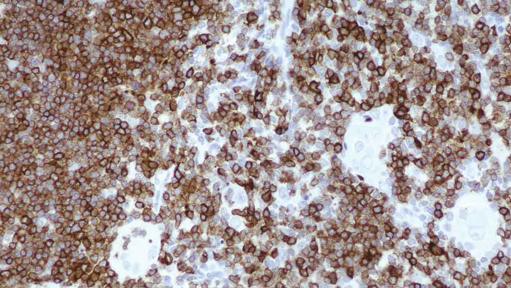
T cell lymphoma: immunohistochemical staining for CD7. Note the intense membrane staining of tumor cells. CD7: clone LP15

CD7

Antigen Background

The CD7 molecule is a membrane-bound glycoprotein of 40 kD and is the earliest T cell specific antigen to be expressed in lymphocytes. CD7 antigen is also the only early marker to persist throughout differentiation. The function and role of the CD7 molecule have not yet been fully identified, although the activation of T cells with gamma/delta receptors has been proposed based on mAb-induced activation. The CD7 antigen is reported to be found on the majority of peripheral blood T cells, most natural killer cells and thymocytes.

Disclaimer

CD7 is recommended for the detection of specific antigens of interest in normal and neoplastic tissues, as an adjunct to conventional histopathology using non-immunologic histochemical stains.

Productos

Productos

CD7-580-L-CE
1ml NCL-L-CD7-580
Disponibilidad del país
PA0266
7ml CD7 Bond RTU Primary
Disponibilidad del país
CD7-580-L-U
1ml NCL-L-CD7-580
Disponibilidad del país
PA0266-U
7ml CD7 Bond RTU Primary
Disponibilidad del país

Downloads

Downloads

CD7-580-L-CE

PA0266

CD7-580-L-U

PA0266-U

Recently Viewed