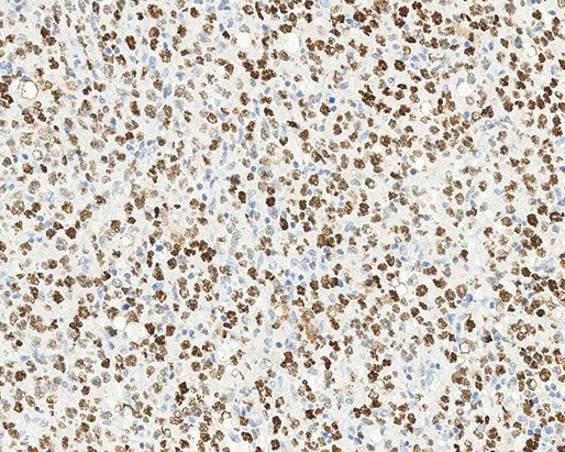
Human diffuse large B cell lymphoma: The majority of neoplastic cells show a moderate to strong nuclear staining reaction. Bcl-6: clone LN22

Bcl-6 Oncoprotein

Antigen Background

Bcl-6 is a proto-oncogene that encodes a Kruppel-type zinc-finger protein of 95 kD and shares homology with other transcription factors. Bcl-6 protein is mainly expressed in normal germinal center B cells and related lymphomas. It has been shown that the Bcl-6 proto-oncogene is involved in chromosome rearrangements at 3q27 in non-Hodgkin's lymphomas and Bcl-6 rearrangements have also been detected in 33-45% of diffuse large B cell lymphomas. Immunohistochemistry has been reported to show the Bcl-6 gene product to be detectable in follicular lymphomas, diffuse large B cell lymphomas, Burkitt's lymphomas and in nodular, lymphocyte predominant Hodgkin's disease.

Disclaimer

Bcl-6 Oncoprotein is recommended for the detection of specific antigens of interest in normal and neoplastic tissues, as an adjunct to conventional histopathology using non-immunologic histochemical stains.

Productos

Productos

BCL-6-564-L
1ml NCL-L-Bcl-6-564
Disponibilidad del país
BCL-6-564-L-CE
1ml NCL-L-Bcl-6-564
Disponibilidad del país
PA0204
7ml Bcl-6 Bond RTU Primary
Disponibilidad del país
BCL-6-564-L-U
1ml NCL-L-Bcl-6-564
Disponibilidad del país
PA0204-U
7ml Bcl-6 Bond RTU Primary
Disponibilidad del país

Downloads

Downloads

BCL-6-564-L

BCL-6-564-L-CE

PA0204

BCL-6-564-L-U

PA0204-U

Recently Viewed