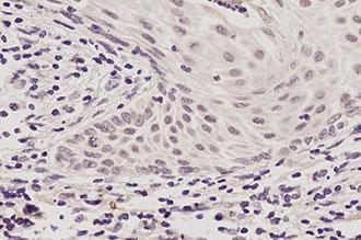
Human cervix: in situ hybridization using DNA Negative Control, Anti-Biotin Antibody and BOND Polymer Refine Detection.
Human cervix: in situ hybridization using DNA Negative Control, Anti-Biotin Antibody and BOND Polymer Refine Detection.
BOND DNA Negative Control Probe
The DNA Negative Control is intended for use as a negative control in formalin-fixed, paraffin-embedded tissue by DNA in situ hybridization (ISH) using the automated BOND system.
DNA Negative Control is used in place of the probe, to enable the identification of background staining resulting from non-specific interactions with the specimen sample under investigation.
For in vitro diagnostic use.
Productos
Productos
PB0731
6.25mL DNA Negative Control
Product is out of stock
Due to manufacturing & supply chain issues, this product is currently unavailable. You may place your order and it will be fulfilled when the product is back in stock. For more help, please reach out to customer service at +1 844 534 2262 or nonurgentcs@leicabiosystems.com
Product is limited in stock
Product availability is limited, but products are in continuous production. Your order will be processed as normal and may take additional days to ship.