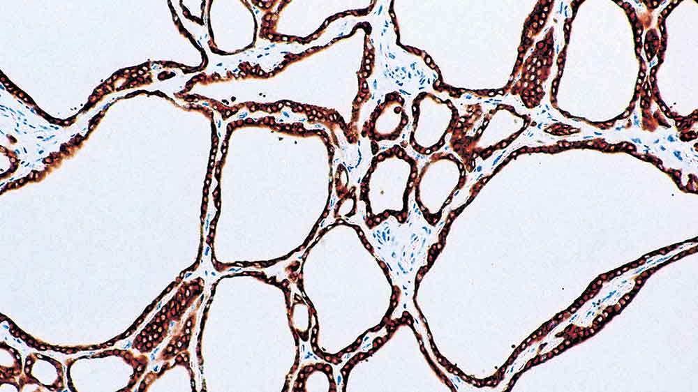
Thyroid, Graves' disease: immunohistochemical staining for Thyroid Peroxidase. Note intense cytoplasmic staining of thyroid epithelial cells. Thyroid Peroxidase: clone AC25

Thyroid Peroxidase

Antigen Background

Thyroid peroxidase gene expression is under the regulation of thyroid-stimulating hormone. In normal thyroid, expression of thyroid peroxidase (TPO) described immunohistochemically is reported to produce a diffuse, fine, granular cytoplasmic stain in all follicular cells. Some studies have shown qualitative  as well as quantitative differences in thyroid peroxidase expression in thyroid cancer compared to normal tissue.


Product Specific Information

TPO stains optimally when used in TBS-based wash buffer and diluent systems.


Disclaimer

Thyroid Peroxidase is recommended for the detection of specific antigens of interest in normal and neoplastic tissues, as an adjunct to conventional histopathology using non-immunologic histochemical stains.

Productos

Productos

TPO-L-CE
1ml NCL-L-TPO

Downloads

Downloads

TPO-L-CE

Recently Viewed