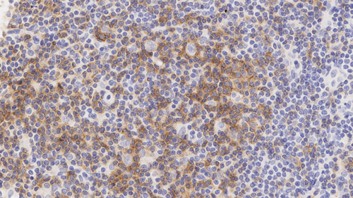
Hodgkin lymphoma: Immunohistochemistry staining of PD-1. PD-1: clone CAL20
Hodgkin lymphoma: Immunohistochemistry staining of PD-1. PD-1: clone CAL20
PD-1
Antigen Background PD-1 (Programmed Death 1) is a 55KDa Type I transmembrane cell surface receptor which is expressed by T-cells during activation. It is also upregulated in B-cells, dendritic cells, natural killer cells and some myeloid cells, suggesting a broad role for PD1 in immune regulation. PD-1 interacts with at least two ligands: PD-L1 and PD-L2. PD-1/PD-L1 interaction is important in many Tcell functions including acute and chronic inflammation, cancer and immunotherapy.
Disclaimer PD-1 is recommended for the detection of specific antigens of interest in normal and neoplastic tissues, as an adjunct to conventional histopathology using non-immunologic histochemical stains.
Productos
Productos
PA0216
7mL PD-1 (CAL20) BOND RTU Primary
Product is out of stock
Due to manufacturing & supply chain issues, this product is currently unavailable. You may place your order and it will be fulfilled when the product is back in stock. For more help, please reach out to customer service at +1 844 534 2262 or nonurgentcs@leicabiosystems.com
Product is limited in stock
Product availability is limited, but products are in continuous production. Your order will be processed as normal and may take additional days to ship.