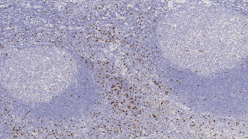
Human Tonsil: Immunohistochemistry staining of FOXP3. FOXP3: clone 236A/E7
Human Tonsil: Immunohistochemistry staining of FOXP3. FOXP3: clone 236A/E7
FOXP3
Antigen Background FOXP3 (Forkhead Box Protein 3, Scurfin) is a member of the forkhead box (FOX) family of transcription factors. These proteins are characterized by a highly-conserved forkhead DNA-binding domain. FOXP3 has an important role in immune regulation, with its effect in reducing Interleukin-2 expression causing a reduced function of T-helper cells. The role of FOXP3 in cancer is multifaceted, with roles in both tumor progression (via suppression of T-cell activity) and oncogene suppression.
Disclaimer FOXP3 is recommended for the detection of specific antigens of interest in normal and neoplastic tissues, as an adjunct to conventional histopathology using non-immunologic histochemical stains.
Productos
Productos
PA0263
7mL FOXP3 (236A/E7) BOND RTU Primary
Product is out of stock
Due to manufacturing & supply chain issues, this product is currently unavailable. You may place your order and it will be fulfilled when the product is back in stock. For more help, please reach out to customer service at +1 844 534 2262 or nonurgentcs@leicabiosystems.com
Product is limited in stock
Product availability is limited, but products are in continuous production. Your order will be processed as normal and may take additional days to ship.