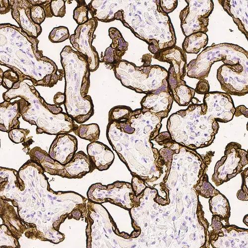
Human placenta: immunohistochemical staining for Epidermal Growth Factor Receptor. High expression of EGFR localized in the trophoblastic layer of the placental villi. Epidermal Growth Factor Receptor: clone EGFR.113

Epidermal Growth Factor Receptor

Información sobre el antígeno

El receptor del factor de crecimiento epidérmico (EGFR) es un receptor de proteína transmembrana de 170 kD con actividad tirosina cinasa. Los niveles mayores de EGFR se asocian con la transformación maligna de las células escamosas, por ejemplo en el carcinoma escamoso de pulmón, cabeza, cuello, piel, cuello uterino y esófago.

La EGFR también puede desempeñar una función en el desarrollo y avance de los carcinomas hepatocelulares en los que la tasa de recidiva son mayores en casos con EGFR-positiva. Esta correlación también se ha identificado en el cáncer colorrectal en el que la EGFR, producida por las células tumoral, juega un papel importante en la agresividad y proliferación del cáncer colorrectal.

La mayor parte de los estudios publicados sobre la expresión de la EGFR en el cáncer de mama humano han mostrado, de forma similar una asociación con la expresión de la EGFR, en la que mantiene una relación inversa con el estado del receptor de estrógeno.

El clon EGFR.25 se eleva hasta el dominio citoplasmático de la molécula de EGFR, mientras que el clon EGFR.113 se eleva hasta el dominio extracelular.

Productos

Productos

EGFR-L-CE
1ml NCL-L-EGFR

Downloads

Downloads

EGFR-L-CE

Recently Viewed