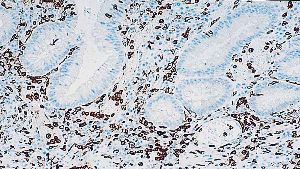
Human colon, ulcerative colitis: immunohistochemical staining for CD16. Note intense membrane staining of infiltrating natural killer cells, granulocytes and activated macrophages. CD16: clone 2H7

CD16

Antigen Background

CD16 antigen has a molecular weight of 50 to 70 kD and is a low affinity Fc receptor for complexed IgG, Fc/gamma RIII, expressed on natural killer (NK) cells, granulocytes, activated macrophages and a subset of T cells expressing alpha-beta or gamma-delta T cell antigen receptors. The CD16 antigen exists both as a glycosyl-phosphatidylinositol (GPI)-anchored protein in polymorphonuclear cells and as a transmembrane protein in NK cells.

Disclaimer

CD16 is recommended for the detection of specific antigens of interest in normal and neoplastic tissues, as an adjunct to conventional histopathology using non-immunologic histochemical stains.

Productos

Productos

CD16-L-CE
1ml NCL-L-CD16

Downloads

Downloads

CD16-L-CE

Recently Viewed