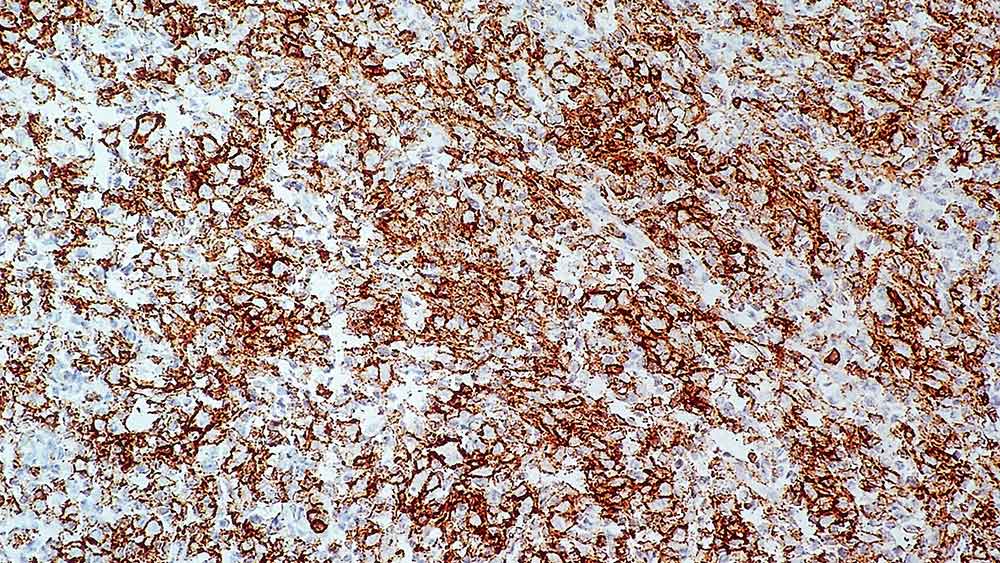
Diffuse large B cell lymphoma: immunohistochemical staining for CD43. Note the intense staining of malignant CD43: clone MT1

CD43

Antigen Background

The CD43 antigen is expressed on the membrane and in the cytoplasm of T cells and cells of myeloid lineage. The molecule itself exhibits molecular weight heterogeneity with bands of 90 to 140 kD observed on SDS-PAGE between different cell lines. Cells expressing the CD43 antigen are reported to include normal and neoplastic T cells. A small proportion of B cell chronic leukemias and diffuse large B cell lymphomas are also reported to express CD43 antigen.

Product Specific Information

Enzyme pretreatment may enhance staining with clone MT1 in some cases.

Disclaimer

CD43 is recommended for the detection of specific antigens of interest in normal and neoplastic tissues, as an adjunct to conventional histopathology using non-immunologic histochemical stains.

Products

Products

MT1-L
1ml NCL-L-MT1
PA0938
7ml CD43 Bond RTU Primary

Downloads

Downloads

MT1-L

PA0938

Recently Viewed