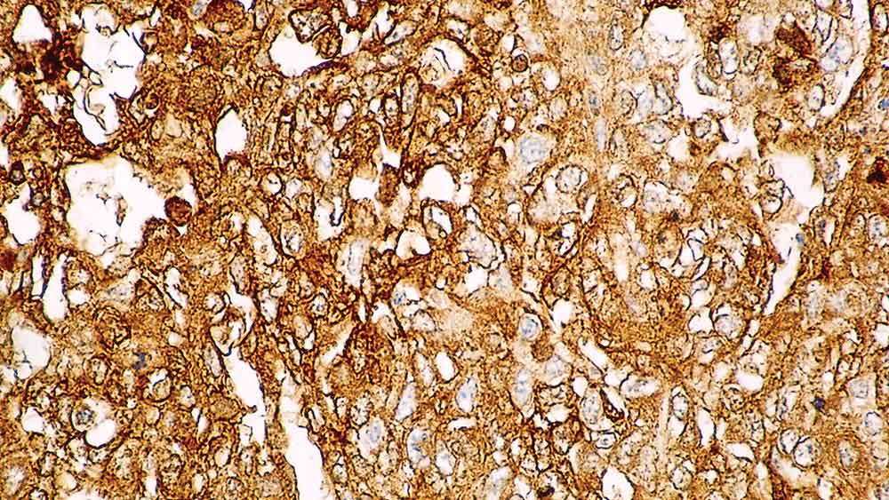
Human fetal liver: immunohistochemical staining for Alpha Fetoprotein. Note cytoplasmic of hepatocytes. Alpha Fetoprotein: clone C3

Alpha Fetoprotein

Antigen Background

Alpha Fetoprotein (AFP) is an oncofetal antigen of 70 kD found in body fluids, which if detected in high concentrations has clinical implications. AFP is expressed in fetal liver but is not present under normal circumstances in healthy adult tissues. It is reported to be expressed in a proportion of germ cell tumors, with high frequency in yolk sac tumors.

Disclaimer

Alpha Fetoprotein is recommended for the detection of specific antigens of interest in normal and neoplastic tissues, as an adjunct to conventional histopathology using non-immunologic histochemical stains.

Products

Products

PA0963
7ml AFP Bond RTU Primary

Downloads

Downloads

PA0963

Recently Viewed