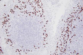
Lambda Probe is used in conjunction with Kappa Probe for the detection of antibody producing B cells in formalin-fixed, paraffin-embedded tissue.
B cell neoplasms are thought to arise from a single transformed cell (monoclonal), whereas reactive states result in proliferation of a number of B cells (polyclonal).
Since immunoglobulins from the same B cell contain either Kappa or Lambda light chains, light chain restriction or monoclonality can be used to make the distinction between reactive and neoplastic B cell proliferations.