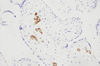
Human placenta: in situ hybridization for cytomegalovirus mRNA using CMV Probe, Anti-Fluorescein Antibody and BOND Polymer Refine Detection.
Human placenta: in situ hybridization for cytomegalovirus mRNA using CMV Probe, Anti-Fluorescein Antibody and BOND Polymer Refine Detection.
BOND CMV Probe
BOND ISH probes are provided in a ready-to-use format and their use has been validated together with Leica ancillaries and BOND Polymer Refine detection for quality you can depend on. Turnaround time is rapid – around 4 hours 20 minutes using the standard BOND protocol, enabling the rapid turnaround of results vs. typical overnight protocols or outsourced testing, for improved patient care.
Background Cytomegalovirus CMV is a member of the Beta Herpes Virus family, transmitted via body fluids, and can establish primary infection, latent infection and subsequent viral reactivation.
CMV is a common opportunistic pathogen, capable of causing serious disease in immunocompromised individuals such as AIDS patients, transplant patients and in neonates.
Congenital CMV is a result of intrauterine infection and although the majority of children are asymptomatic, congenital CMV can result in sensorineural hearing loss, cognitive, motor and visual deficits and seizures.
Products
Products
PB0614
5.5 ml Bond CMV Probe
Product is out of stock
Due to manufacturing & supply chain issues, this product is currently unavailable. You may place your order and it will be fulfilled when the product is back in stock. For more help, please reach out to customer service at +1 844 534 2262 or nonurgentcs@leicabiosystems.com
Product is limited in stock
Product availability is limited, but products are in continuous production. Your order will be processed as normal and may take additional days to ship.