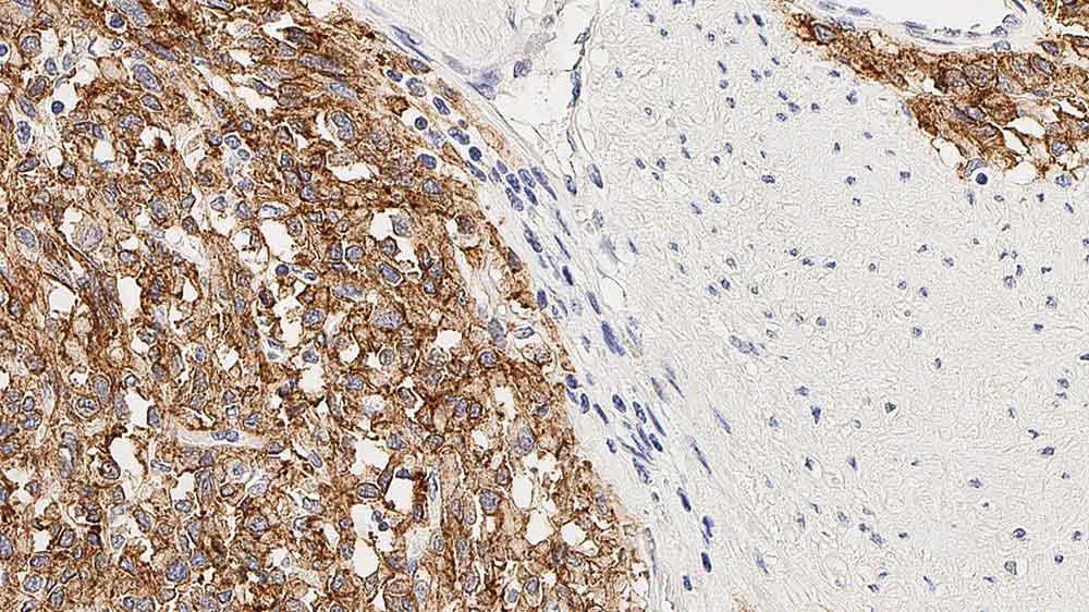
Human colon, gastrointestinal stromal tumor: immunohistochemical staining for DOG-1. Note membrane staining of neoplastic cells. DOG-1: clone K9

DOG-1

Antigen Background
DOG-1, a 986 amino acid protein of unknown function, is expressed predominantly on the plasma membrane of gastrointestinal stromal tumors (GISTs) and is rarely expressed in other soft tissue tumors, which, due to appearance, can be confused with GISTs. Reactivity for DOG-1 has been suggested to aid in the identification of GISTs, including Platelet-Derived Growth Factor Receptor Alpha mutants that fail to express KIT antigens.

Product Specific Information
The use of PBS-based diluents may result in increased background staining.

Disclaimer
DOG-1 is recommended for the detection of specific antigens of interest in normal and neoplastic tissues as an adjunct to conventional histopathology using non-immunologic histochemical stains.

Products

Products

DOG-1-L-CE
1ml NCL-L-DOG-1
PA0219
7ml DOG-1 Bond RTU Primary

Downloads

Downloads

DOG-1-L-CE

PA0219

Recently Viewed