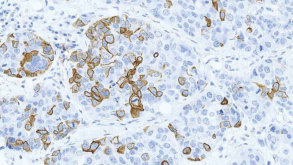
Antigen Background
Cytokeratins 14 and 5 are useful to distinguish stratified epithelial cell types from simple epithelial cell types. Cytokeratin 14 has been reported to be expressed in neoplasms of squamous cell origin.
Product Specific Information
Clone LL002 reacts with the human cytokeratin intermediate filament protein (50 kD) identified as cytokeratin 14.
Disclaimer
Cytokeratin 14 is recommended for the detection of specific antigens of interest in normal and neoplastic tissues, as an adjunct to conventional histopathology using non-immunologic histochemical stains.