Antigen Background
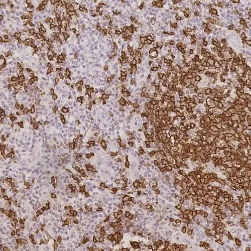
The CD20 antigen is a non-glycosylated phosphoprotein of approximately 33 kD which is expressed on normal and malignant human B cells and is thought to act as a receptor during B cell activation and differentiation. CD20 antigen has been reported to be expressed on normal B cells from peripheral blood, lymph node, spleen, tonsil, bone marrow, acute leukemias, and chronic lymphocytic leukemias.
Disclaimer
CD20 is recommended for the detection of specific antigens of interest in normal and neoplastic tissues, as an adjunct to conventional histopathology using non-immunologic histochemical stains.