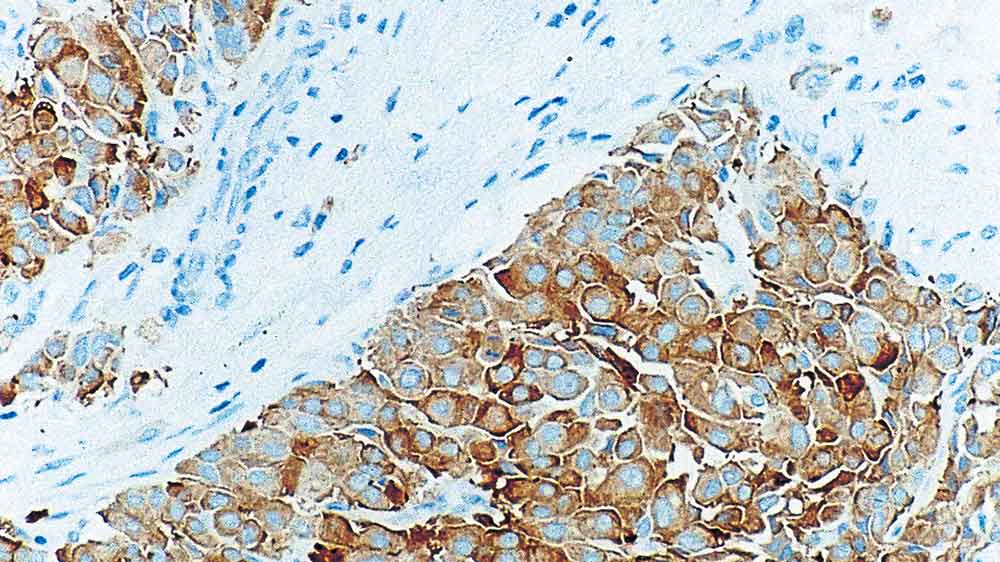
Breast carcinoma showing neuroendocrine differentiation: immunohistochemical staining for Synaptophysin. Note cytoplasmic staining of tumor cells. Synaptophysin: clone 27G12

Synaptophysin

Antigen Background
Synaptophysin is an integral membrane glycoprotein with a molecular weight of 38 kD. It is reported to occur in presynaptic vesicles of neurons in brain, spinal cord, retina, in similar vesicles of the adrenal medulla as well as in neuromuscular junctions.
Synaptophysin may be involved in synaptic vesicle formation and exocytosis. Synaptophysin is reported to be expressed in a wide spectrum of neuroendocrine tumors including neuroblastomas, ganglioneuroblastomas, phaeochromocytomas, chromaffin and non-chromaffin paragangliomas.
Synaptophysin is also reported to be expressed in neuroendocrine tumors of epithelial type including pituitary adenomas, islet cell tumors, medullary carcinomas of thyroid, parathyroid adenomas, carcinoids of the bronchopulmonary and gastrointestinal tracts, neuroendocrine carcinomas of the bronchopulmonary and gastrointestinal tract and neuroendocrine carcinomas of the skin.

Disclaimer
Synaptophysin is recommended for the detection of specific antigens of interest in normal and neoplastic tissues, as an adjunct to conventional histopathology using non-immunologic histochemical stains.


or REQUEST a bulk quote.
We are currently updating the product codes for a number of our Advanced Staining reagents. From January 2023 you will begin to receive products with a –U, –A or –X suffix (e.g. PAxxxx-U).

Please see here for more information

Products

Products

PA0299-U
7ml Synaptoph Bond RTU Primary

or REQUEST a bulk quote.
SYNAP-299-L-CE
1ml NCL-L-SYNAP-299

or REQUEST a bulk quote.
PA0299
7ml Synaptoph Bond RTU Primary

or REQUEST a bulk quote.

Downloads

Downloads

PA0299-U

SYNAP-299-L-CE

PA0299

Recently Viewed