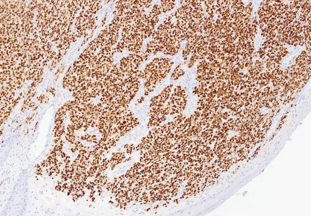
Melanoma: DAB staining of SOX10. Clone SOX10/991.

SOX10 - IHC Primary Antibodies

Antigen Background
SOX10 is a nuclear transcription factor in the SOX (SRY Box) family of proteins, that plays an important role in neural crest development among other functions. As such it is expressed in cells of neural crest origin, including melanocytes and Schwann cells. It has been shown to be a sensitive and specific marker to aid in the diagnosis of melanoma, including spindle and desmoplastic subtypes, as well as a specific marker to aid in the differentiation of Malignant Peripheral Nerve Sheath Tumor (MPNST) from synovial sarcoma.

Disclaimer
SOX10 is recommended for the detection of specific antigens of interest in normal and neoplastic tissues, as an adjunct to conventional histopathology using non-immunologic histochemical stains.


or REQUEST a bulk quote.

Products

Products

PA0010-U
7mL SOX10 (SOX10/991) BondRTU

or REQUEST a bulk quote.
PA0030-U
30mL SOX10 (SOX10/991) BondRTU

or REQUEST a bulk quote.

Downloads

Downloads

PA0010-U

PA0030-U

Recently Viewed