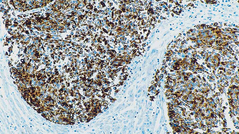
Human prostate: immunohistochemical staining for Prostate Specific Membrane Antigen (PSMA): clone 1D6 

Prostate Specific Membrane Antigen

The prostate specific membrane antigen (PSMA) is expressed as a 750 amino acid glycoprotein but may also be found as PSM, a form of the protein missing the first 57 amino acids. PSMA has two enzymatic activities, one as a prostate-specific integral membrane folate hydrolase and the other as a carboxypeptidase. Reports suggest that PSMA expression may correlate with tumor burden and serve as an indicator of metastatic involvement. The cellular localization of PSMA contrasts with that of prostate specific antigen (PSA) and prostatic acid phosphatase (PAP) that are secreted proteins.

Disclaimer

Prostate Specific Membrane Antigen is recommended for the detection of specific antigens of interest in normal and neoplastic tissues, as an adjunct to conventional histopathology using non-immunologic histochemical stains. 


or REQUEST a bulk quote.

Products

Products

PSMA-L
1ml NCL-L-PSMA

or REQUEST a bulk quote.

Downloads

Downloads

PSMA-L

Recently Viewed