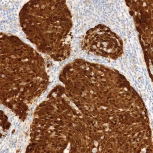
Squamous Cell Carcinoma of tonsil, stained with p16 BOND Ready-to-Use Primary Antibody (6H12), PA0016

p16

Antigen Background
p16 (INK4a) (Cyclin-dependent kinase inhibitor 2A (CDKN2A)) is a tumour suppressor protein associated with cell cycle progression, specifically in the regulation of transition from G1 phase of the cell cycle into the S phase. Oncogenic mutations in the CDKN2A gene that encodes p16 (resulting in over or under-expression of the protein) is associated with a wide range of cancers and cancer precursor lesions.

Disclaimer
p16 is recommended for the detection of specific antigens of interest in normal and neoplastic tissues, as an adjunct to conventional histopathology using non-immunologic histochemical stains.


or REQUEST a bulk quote.
We are currently updating the product codes for a number of our Advanced Staining reagents. From January 2023 you will begin to receive products with a –U, –A or –X suffix (e.g. PAxxxx-U).

Please see here for more information

Products

Products

PA0016
7mL p16 (6H12) BOND RTU Primary

or REQUEST a bulk quote.
PA0016-U
7mL p16 (6H12) BOND RTU Primary

or REQUEST a bulk quote.

Downloads

Downloads

PA0016

PA0016-U

Recently Viewed