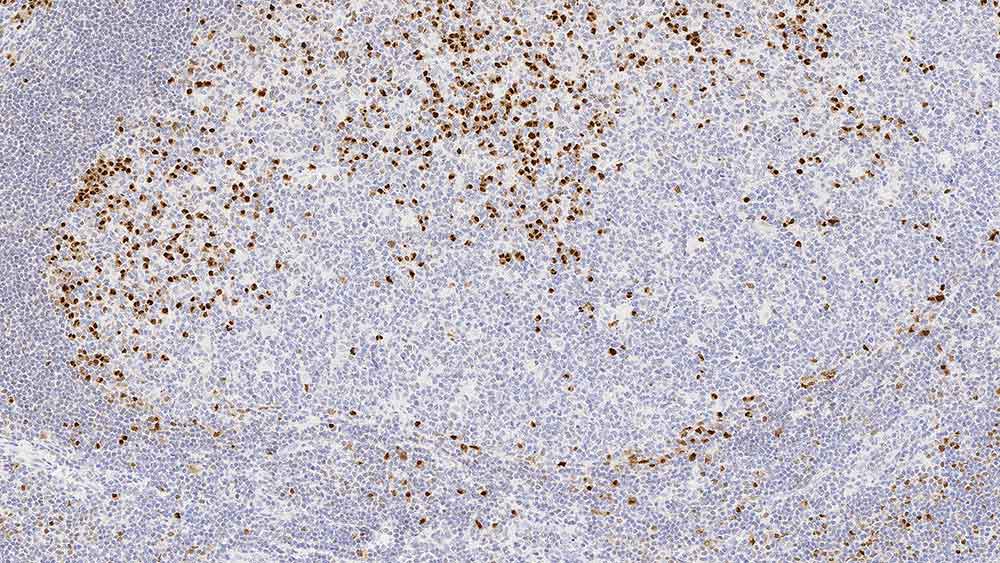
Human tonsil: immunohistochemical staining for MUM-1. Note nuclear staining of B cells showing lymphoplasmacytic differentiation. Multiple Myeloma Oncogene 1: clone EAU32

Multiple Myeloma Oncogene 1 (MUM-1)

Antigen Background

The MUM-1 (multiple myeloma oncogene 1) gene was originally identified because of its involvement in the t(6:14) translocation observed in multiple myeloma, which causes the juxtaposition of the MUM-1 gene to the Ig heavy chain locus. MUM-1 is expressed in late plasma cell directed stages of B cell differentiation and in activated T cells, suggesting that MUM-1 may serve as a marker for lympho-hemopoietic neoplasms derived from these cells. The morphologic spectrum of MUM-1 expressing cells has been found to range from that of a centrocyte to that of a plasmablast/plasma cell. Consequently, the histogenic value of MUM-1 may be to provide a marker to aid in the identification of the transition from BCL-6 positive (germinal center B cells) to CD138 positive (immunoblasts and plasma cells).

Disclaimer

Multiple Myeloma Oncogene 1 (MUM-1) is recommended for the detection of specific antigens of interest in normal and neoplastic tissues, as an adjunct to conventional histopathology using non-immunologic histochemical stains.


or REQUEST a bulk quote.
We are currently updating the product codes for a number of our Advanced Staining reagents. From January 2023 you will begin to receive products with a –U, –A or –X suffix (e.g. PAxxxx-U).

Please see here for more information

Products

Products

MUM1-L-CE
1ml NCL-L-MUM1

or REQUEST a bulk quote.
PA0129
7ml MUM1 Bond RTU Primary

or REQUEST a bulk quote.
PA0129-U
7ml MUM1 Bond RTU Primary

or REQUEST a bulk quote.

Downloads

Downloads

MUM1-L-CE

PA0129

PA0129-U

Recently Viewed