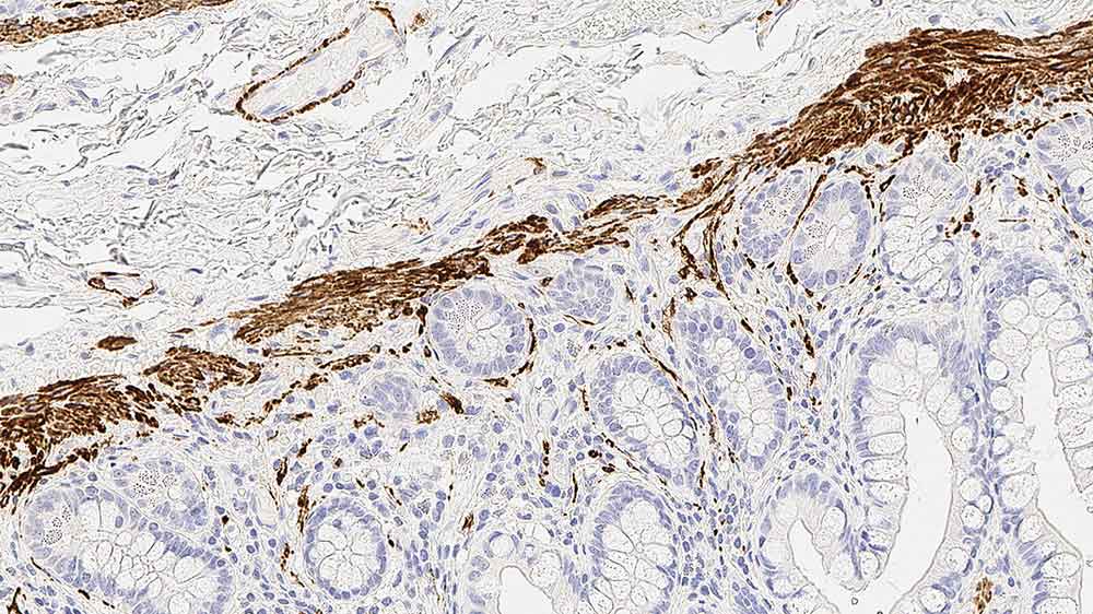
Human bowel: immunohistochemical staining for desmin. Note cytoplasmic staining of smooth muscle containing cells. Desmin: clone DE-R-11

Desmin

Product Specific Information

DES-DERII reacts with an 18 kD rod piece of the intermediate filament protein desmin (53 kD) in muscle cells. The antibody does not appear to recognize other intermediate filament proteins. In normal tissues, Clone DE-R-11 reacts with both striated (skeletal and cardiac) and smooth muscle cells. The labeling is confined to the Z bands in skeletal and cardiac muscle giving a characteristic striated appearance.

Disclaimer
Desmin is recommended for the detection of specific antigens of interest in normal and neoplastic tissues, as an adjunct to conventional histopathology using non-immunologic histochemical stains.


or REQUEST a bulk quote.
We are currently updating the product codes for a number of our Advanced Staining reagents. From January 2023 you will begin to receive products with a –U, –A or –X suffix (e.g. PAxxxx-U).

Please see here for more information

Products

Products

DES-DERII-L-CE
1ml NCL-L-DES-DERII

or REQUEST a bulk quote.
PA0032
7ml Desmin Bond RTU Primary

or REQUEST a bulk quote.
PA0032-U
7ml Desmin Bond RTU Primary

or REQUEST a bulk quote.

Downloads

Downloads

DES-DERII-L-CE

PA0032

PA0032-U

Recently Viewed