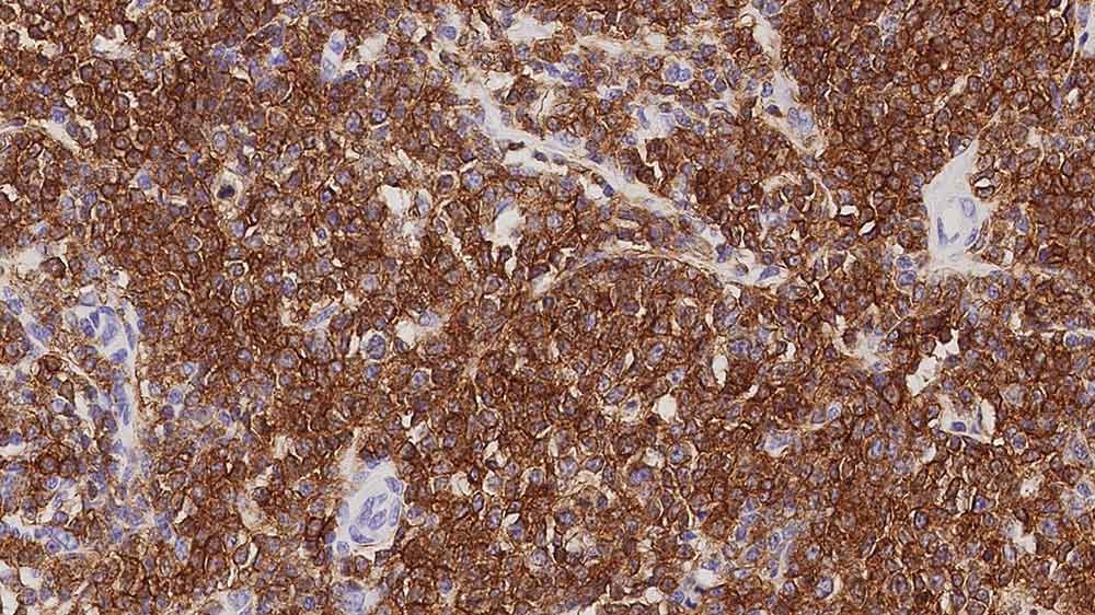
Human diffuse large B cell lymphoma: immunohistochemical staining for CD79a. Note the membrane staining of tumor cells. CD79a: clone JCB117

CD79a

Antigen Background

The CD79 complex is a disulfide-linked heterodimer which is non-covalently associated with membrane-bound immunoglobulins on B cells. This complex of polypeptides and immunoglobulin constitute the B cell antigen receptor. The two components of this complex are designated CD79a and CD79b. The CD79a antigen is reported to first appear at the pre-B cell stage, early in maturation, and persist until the plasma cell stage where it is found as an intracellular component. It is not present in myeloid or T cell lines.

Disclaimer

CD79a is recommended for the detection of specific antigens of interest in normal and neoplastic tissues, as an adjunct to conventional histopathology using non-immunologic histochemical stains.


or REQUEST a bulk quote.
We are currently updating the product codes for a number of our Advanced Staining reagents. From January 2023 you will begin to receive products with a –U, –A or –X suffix (e.g. PAxxxx-U).

Please see here for more information

Products

Products

CD79A-192-L
1ml NCL-L-CD79a-192

or REQUEST a bulk quote.
CD79A-225-L-CE
1ml NCL-L-CD79a-225

or REQUEST a bulk quote.
CD79A-599-L-CE
1ml NCL-L-CD79a-599

or REQUEST a bulk quote.
PA0599
7ml CD79a (JCB117) Bond RTU Primary

or REQUEST a bulk quote.
PA0599-U
7ml CD79a (JCB117) Bond RTU Primary

or REQUEST a bulk quote.

Downloads

Downloads

CD79A-192-L

CD79A-225-L-CE

CD79A-599-L-CE

PA0599

PA0599-U

Recently Viewed