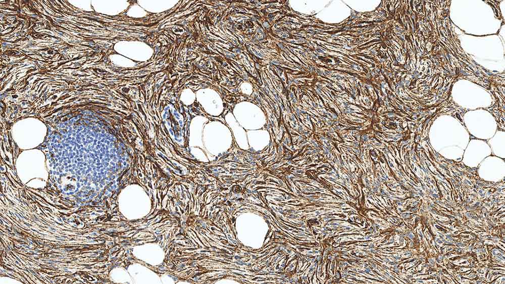
Dermatofibrosarcoma protuberans: immunohistochemical staining for CD34. Note the staining of neoplastic spindle cells. CD34: clone QBEnd/10

CD34

Antigen Background
The CD34 antigen is a single chain transmembrane glycoprotein with a molecular weight of 110 kD. The CD34 protein is selectively expressed on human lymphoid and myeloid hemopoietic progenitor cells. The CD34 antigen is also expressed on vascular enothelium.

Product Specific Information
Enzyme digestion of paraffin sections is recommended with clone QBEnd/10 in preference to heat induced epitope retrieval as it produces stronger staining and reduces background elastin staining

Disclaimer
CD34 (Endothelial Cell Marker) is recommended for the detection of specific antigens of interest in normal and neoplastic tissues, as an adjunct to conventional histopathology using non-immunologic histochemical stains.


or REQUEST a bulk quote.
We are currently updating the product codes for a number of our Advanced Staining reagents. From January 2023 you will begin to receive products with a –U, –A or –X suffix (e.g. PAxxxx-U).

Please see here for more information

Products

Products

END-L-CE
1ml NCL-L-END

or REQUEST a bulk quote.
PA0354
30ml CD34 Bond RTU Primary

or REQUEST a bulk quote.
PA0212
7ml CD34 Bond RTU Primary

or REQUEST a bulk quote.
PA0212-U
7ml CD34 Bond RTU Primary

or REQUEST a bulk quote.
PA0354-U
30ml CD34 Bond RTU Primary

or REQUEST a bulk quote.

Downloads

Downloads

END-L-CE

PA0354

PA0212

PA0212-U

PA0354-U

Recently Viewed