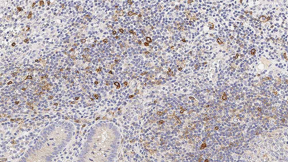
Human appendix: immunohistochemical staining for CD25. Note staining of activated lymphocytes. CD25: clone 4C9

CD25

Antibody Background

CD25 antigen, the alpha subunit of interleukin-2 receptor, is a single-chain glycoprotein with a molecular weight of 55 kD. Following the activation of T cells interleukin-2 (IL-2) is rapidly synthesized and secreted. In response to this a subpopulation of T cells expresses high-affinity receptors for IL-2. These cells proliferate, expanding the T cell population which is capable of mediating helper, suppressor and cytotoxic functions. IL-2 receptor is not exclusively found on T cells, and is reported to be expressed on HTLV-transformed T and B cells, EBV-transformed B cells, myeloid precursors and oligodendrocytes. It is absent on thymocytes, resting T cells, non-activated B cells and null cells. IL-2 receptor expression is reported to be associated with inflammatory and malignant conditions, lymphoid neoplasia, autoimmune diseases and allograft rejection.

Disclaimer

CD25 is recommended for the detection of specific antigens of interest in normal and neoplastic tissues, as an adjunct to conventional histopathology using non-immunologic histochemical stains.


or REQUEST a bulk quote.
We are currently updating the product codes for a number of our Advanced Staining reagents. From January 2023 you will begin to receive products with a –U, –A or –X suffix (e.g. PAxxxx-U).

Please see here for more information

Products

Products

PA0305-U
7ml CD25 Bond RTU Primary

or REQUEST a bulk quote.
PA0305
7ml CD25 Bond RTU Primary

or REQUEST a bulk quote.

Downloads

Downloads

PA0305-U

PA0305

Recently Viewed