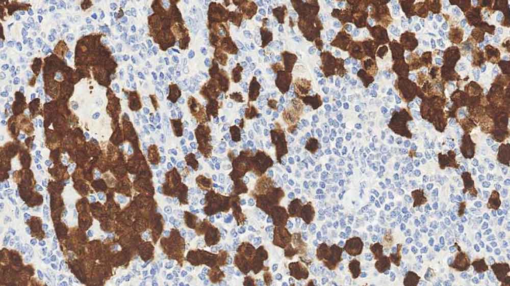
Anaplastic large cell lymphoma: immunohistochemical staining for ALK. Note the strong nuclear and cytoplasmic staining in the neoplastic cells. ALK: clone 5A4

ALK

Antigen Background

Anaplastic large cell lymphoma (ALCL) is usually composed of large pleomorphic cells which are reported to express CD30 antigen and epithelial membrane antigen (EMA). These tumor cells tend to occur in younger individuals and may be associated with cutaneous and extranodal involvement. A proportion of these cases contain a chromosomal translocation t(2;5) (p23;q35). This results in a hybrid gene encoding part of the nucleophosmin (NPM) gene joined to the cytoplasmic domain of the anaplastic lymphoma kinase (ALK) gene, giving rise to the protein, p80. Large cell lymphomas account for approximately 25% of all non-Hodgkin's lymphomas in children and young adults, of which one third carry the NPM-ALK gene translocation.

Disclaimer

ALK is recommended for the detection of specific antigens of interest in normal and neoplastic tissues, as an adjunct to conventional histopathology using non-immunologic histochemical stains.
 


or REQUEST a bulk quote.
We are currently updating the product codes for a number of our Advanced Staining reagents. From January 2023 you will begin to receive products with a –U, –A or –X suffix (e.g. PAxxxx-U).

Please see here for more information

Products

Products

ALK-L-CE-H
0.5ml NCL-L-ALK

or REQUEST a bulk quote.
PA0831
7 mL ALK (5A4) BOND RTU Primary

or REQUEST a bulk quote.
PA0831-U
7 mL ALK (5A4) BOND RTU Primary

or REQUEST a bulk quote.

Downloads

Downloads

ALK-L-CE-H

PA0831

PA0831-U

Recently Viewed