Antigen Background
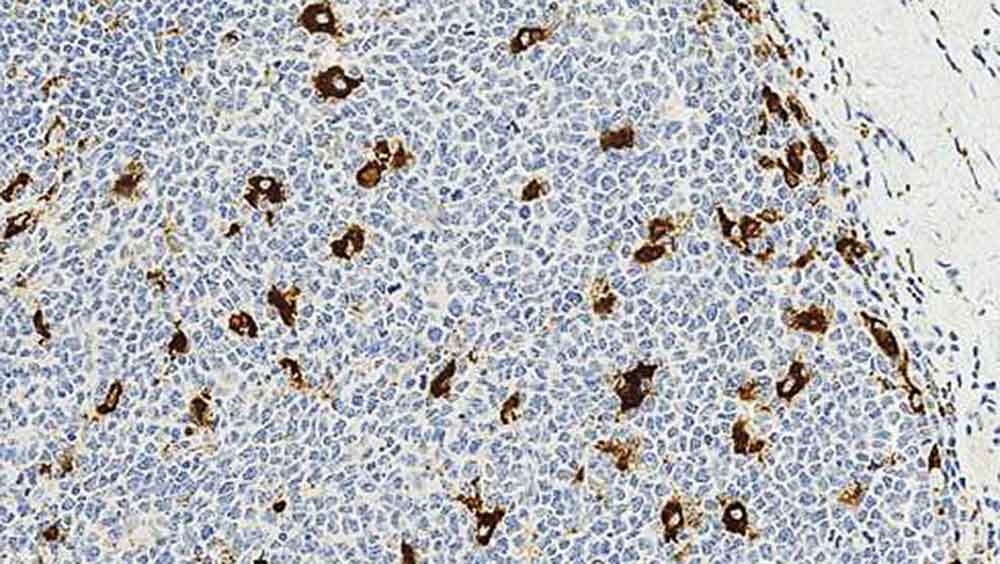
The CD68 molecule is a 110 kD intracellular glycoprotein primarily reported to be associated with cytoplasmic granules and to a lesser extent the membranes of macrophages. Markers to CD68 antigen are the most frequently used for the identification of macrophages in immunohistochemistry; however, CD68 is also found in monocytes, neutrophils, basophils and large lymphocytes. The function of the CD68 molecule is not certain but these lysosomal membrane proteins are major components and may protect the membranes from attack by acid hydrolases. It is unclear if the surface-associated CD68 protein is functionally significant or due to leakage from the lysosomes. CD68 protein expression has been demonstrated in stimulated T cells and NK cells and non-hematopoietic tissues such as liver and renal tubules.
Disclaimer
CD68 is recommended for the detection of specific antigens of interest in normal and neoplastic tissues, as an adjunct to conventional histopathology using non-immunologic histochemical stains.