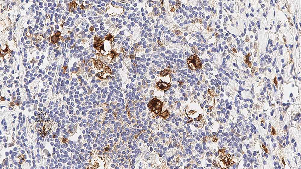
Human lymph node, nodular sclerosing Hodgkin's disease: immunohistochemical staining for CD30. Note membrane and cytoplasmic staining of the neoplastic cells, CD30: clone JCM182

CD30

Antigen Background

The CD30 antigen is a single-chain glycoprotein with a molecular weight of 120 kD. CD30 antigen is known to act as a receptor for a cytokine ligand, CD30L, and may also play a role in the regulation of cellular growth and transformation. CD30 antigen is reported to be expressed on the surface of multinucleated Reed Sternberg cells, mononuclear Hodgkin's cells and in the majority of anaplastic large cell lymphomas. The CD30 antigen is expressed in non-Hodgkin's lymphoma and virally transformed cells, for example, EBV-transformed B cells.

Product Specific Information 

Using retrieval solutions other than that recommended for clone JCM182 in the datasheet may increase background reactivity.

Disclaimer

CD30 is recommended for the detection of specific antigens of interest in normal and neoplastic tissues, as an adjunct to conventional histopathology using nonimmunologic histochemical stains. 

Products

Products

CD30-591-L
1ml NCL-L-CD30-591
CD30-591-L-CE
1ml NCL-L-CD30-591
PA0790
7ml CD30 (JCM182) Bond RTU Primary

Downloads

Downloads

CD30-591-L

CD30-591-L-CE

PA0790

Recently Viewed