Antigen Background
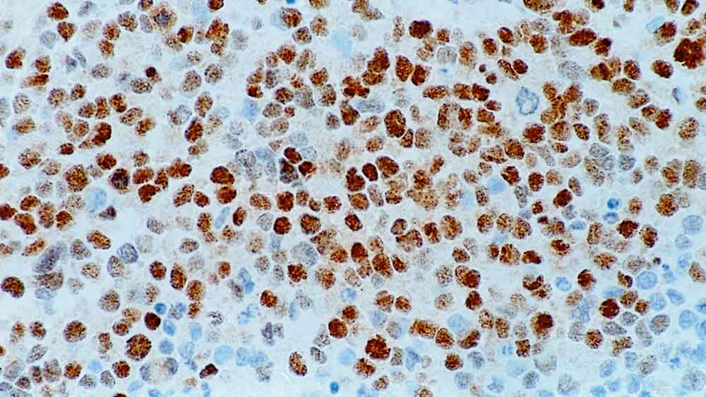
Rhabdomyosarcomas are a class of myoblast-derived soft tissue sarcomas that usually express a number of muscle-specific genes and primarily affect children and young adults. Differentiation of myogenic cells is controlled by a set of regulatory genes including MyoD1, myogenin, Myf-5 and Myf-6. Myf-4 is the human homolog of myogenin. Its gene product, together with that of Myf-3, accumulates in the nucleus of differentiated cells.
Disclaimer
Myogenin (Myf-4) is recommended for the detection of specific antigens of interest in normal and neoplastic tissues, as an adjunct to conventional histopathology using non-immunologic histochemical stains.