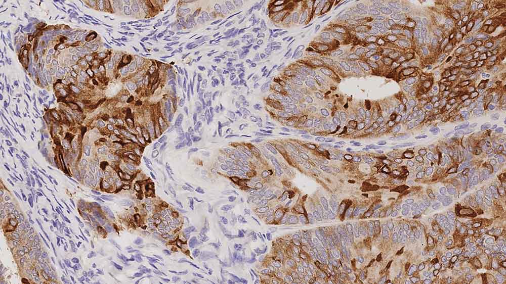
Human ductal carcinoma of breast: immunohistochemical staining for Mammaglobin protein. Note cytoplasmic staining of a proportion of malignant cells. Mammaglobin: clone EP249

Mammaglobin

Antigen Background

Mammaglobin is a 10 kDa glycoprotein that belongs to the uteroglobin family of proteins. It was first described in 1996 and found to be overexpressed in breast cancer. 

Mammaglobin has been suggested as a useful marker for carcinomas of unknown primary origin, with expression unaltered from the primary site. 

Disclaimer

Mammaglobin is recommended for the detection of specific antigens of interest in normal and neoplastic tissues, as an adjunct to conventional histopathology using non-immunologic histochemical stains.

Products

Products

PA0378
7ml Mammaglobin (EP249) Bond RTU Primary

Downloads

Downloads

PA0378

Recently Viewed