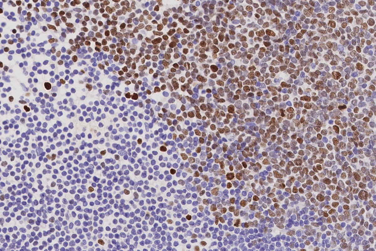
Antigen Background
Polycomb-group proteins (PcG) such as EZH2 (Enhancer of Zeste Homolog 2 (Drosophila)) form multimeric gene repressing complexes involved in axial patterning, hematopoiesis and cell cycle regulation. PcG proteins ensure correct embryonic development by expressing homeobox genes as well as contributing to the regulation of lymphopoiesis.
Product Specific Information
EZH2 stains optimally when used in TBS-based wash buffer and diluent systems.
Disclaimer
EZH2 (Enhancer of Zeste Homolog 2 (Drosophila)) is recommended for the detection of specific antigens of interest in normal and neoplastic tissues, as an adjunct to conventional histopathology using non-immunologic histochemical stains.