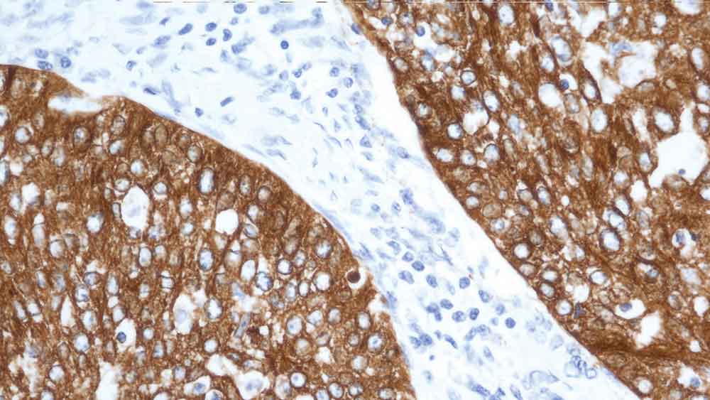
Human rectal adenocarcinoma: immunohistochemical staining for Cytokeratin 19. Note: cytoplasmic staining of malignant epithelial cells. Cytokeratin 19: clone b170

Cytokeratin 19

Antigen Background

The smallest human cytokeratin filament protein (40 kD) has been identified as cytokeratin 19 and has been reported to be expressed in many epithelial cell types, including many ductal and glandular epithelia.

Product Specific Information

Clone B170 produces a complex heterogeneous staining pattern in non-keratinizing squamous epithelia and hair follicles, with strong staining of the basal layer observed.

Disclaimer

Cytokeratin 19 is recommended for the detection of specific antigens of interest in normal and neoplastic tissues, as an adjunct to conventional histopathology using non-immunologic histochemical stains.

Products

Products

PA0799
7ml Cytokeratin 19 Bond RTU Primary

Downloads

Downloads

PA0799

Recently Viewed