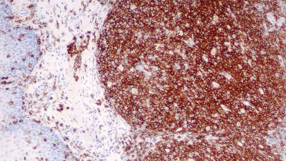
Human tonsil: immunohistochemical staining of CD45 or leukocyte common antigen (LCA) in various hematolymphoid cells. CD45: clone X16/99

CD45

Antigen Background

The CD45 antigen (leukocyte common antigen) is a family of five or more high molecular weight glycoproteins present on the surface of the majority of the human leukocytes (including lymphocytes, monocytes and eosinophils) but absent from erythrocytes and platelets. Various isoforms of CD45 are generated by alternative splicing of three exons. Expression of CD45 is necessary for signaling through the T cell receptor.

Disclaimer

CD45 is recommended for the detection of specific antigens of interest in normal and neoplastic tissues, as an adjunct to conventional histopathology using non-immunologic histochemical stains.

Products

Products

LCA-L-CE
1ml NCL-L-LCA
PA0042
7ml CD45 Bond RTU Primary

Downloads

Downloads

LCA-L-CE

PA0042

Recently Viewed