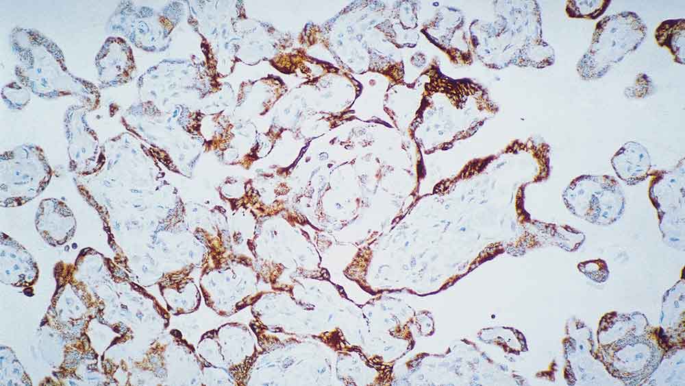
Human placenta: immunohistochemical staining for Vascular Endothelial Growth Factor Receptor-3: clone KLT9
Human placenta: immunohistochemical staining for Vascular Endothelial Growth Factor Receptor-3: clone KLT9
Vascular Endothelial Growth Factor Receptor-3
Analyte Specific Reagent Statement: Analyte Specific Reagent. Analytical and performance characteristics are not established.
Products
Products
VEGFR3-L
1ml NCL-L-VEGFR-3
Product is out of stock
Due to manufacturing & supply chain issues, this product is currently unavailable. You may place your order and it will be fulfilled when the product is back in stock. For more help, please reach out to customer service at +1 844 534 2262 or nonurgentcs@leicabiosystems.com
Product is limited in stock
Product availability is limited, but products are in continuous production. Your order will be processed as normal and may take additional days to ship.