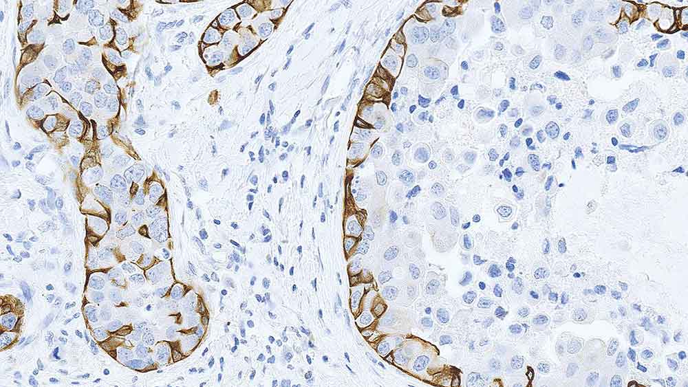
Human breast, ductal carcinoma in situ: immunohistochemical staining for Cytokeratin 5. Note the intense staining of myoepithelial cells. Cytokeratin 5: clone XM26

Cytokeratin 5

Antigen Background

Cytokeratins are a large family of cytoskeletal proteins found in epithelial cells. They are co-ordinately synthesized in pairs so that at least one member of each family is expressed in each epithelial cell. Cytokeratins assemble into obligatory heteropolymers composed of type I (acidic) and type II (basic) polypeptides to form higher-order tetramers and protofilaments. Basal cells of the human epidermis express acidic keratin 14 and basic cytokeratin 5. Cytokeratin 5 is a 58 kD protein closely related to cytokeratin 6. They share similar tissue distribution and are found in various proportions in many non-keratinizing stratified squamous epithelia, for example, tongue mucosa, as well as in basal epithelia of trachea, basal cells of epidermis, hair follicles, sebaceous and sweat glands of skin, luminal cells of the mammary gland, basal cells of prostate, urothelium, vagina and endocervical mucosa. Cytokeratins 5 and 6 are also expressed in basal cell epitheliomas, squamous cell carcinomas of the skin, tongue, epiglottis and of the rectal-anal region. Point mutations in the cytokeratin five gene at locus 12q11-q13 can cause various types of epidermolysis bullosa simplex. Cytokeratin 5 is also reported to be expressed in most epithelial and biphasic mesotheliomas.

Product Specific Information

Clone XM26 is specific for the 58 kD intermediate filament protein known as cytokeratin 5. It is not cross-reactive with cytokeratin 6.

Disclaimer

Cytokeratin 5 is recommended for the detection of specific antigens of interest in normal and neoplastic tissues, as an adjunct to conventional histopathology using non-immunologic histochemical stains.

Products

Products

CK5-L-CE
1ml NCL-L-CK5
PA0468
7ml Cytokeratin 5 Bond RTU Primary

Downloads

Downloads

CK5-L-CE

PA0468

Recently Viewed