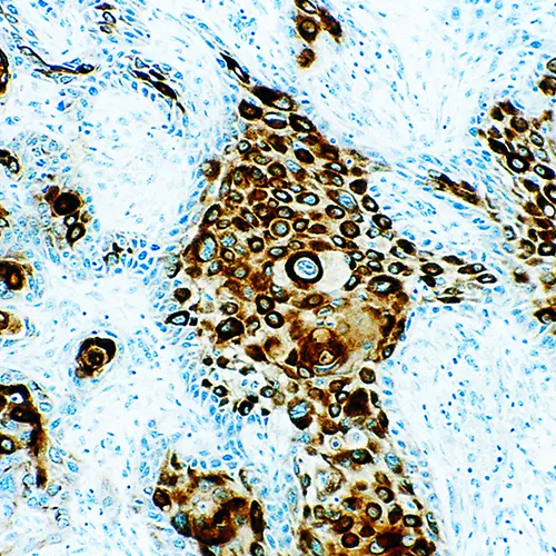
Human squamous cell carcinoma of the floor of the mouth: immunohistochemical staining for cytokeratins. Note intense cytoplasmic staining of malignant cells. Cytokeratin, Multi (5/6/8/18): clone 5D3/LP34

Cytokeratin, Multi (5/6/8/18)

Antigen Background
NCL-L-CK5/6/8/18 react with human cytokeratins 5, 6, 8, and 18.

These products are cocktails of monoclonal antibodies designed to recognize cytokeratins reported to be expressed in almost all epithelial tissues.

Disclaimer
Cytokeratin, Multi (5/6/8/18) is recommended for the detection of specific antigens of interest in normal and neoplastic tissues, as an adjunct to conventional histopathology using non-immunologic histochemical stains.

Products

Products

CK5/6/8/18-L
1ml NCL-L-CK5/6/8/18

Downloads

Downloads

CK5/6/8/18-L

Recently Viewed