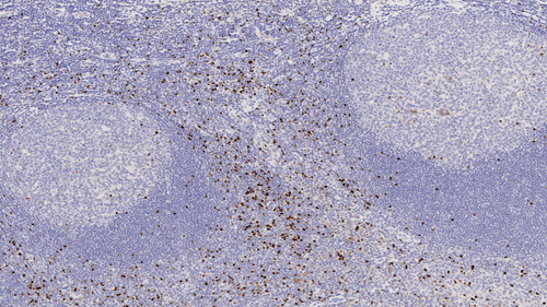
Human Tonsil: Immunohistochemistry staining of FOXP3. FOXP3: clone 236A/E7

FOXP3

Antigen Background
FOXP3 (Forkhead Box Protein 3, Scurfin) is a member of the forkhead box (FOX) family of transcription factors. These proteins are characterized by a highly-conserved forkhead DNA-binding domain. FOXP3 has an important role in immune regulation, with its effect in reducing Interleukin-2 expression causing a reduced function of T-helper cells. The role of FOXP3 in cancer is multifaceted, with roles in both tumor progression (via suppression of T-cell activity) and oncogene suppression.

Disclaimer
FOXP3 is recommended for the detection of specific antigens of interest in normal and neoplastic tissues, as an adjunct to conventional histopathology using non-immunologic histochemical stains.

Products

Products

PA0263
7mL FOXP3 (236A/E7) BOND RTU Primary

Downloads

Downloads

PA0263

Recently Viewed