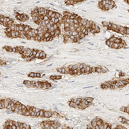
Human breast cancer: immunohistochemical staining for Epithelial Membrane Antigen. Note membrane staining of neoplastic cells. Epithelial Membrane Antigen: clone GP1.4

Epithelial Membrane Antigen

Antigen Background
Epithelial Membrane Antigen (EMA), also known as episialin, is reported to be expressed in a variety of normal and neoplastic epithelia. It has been reported that markers to CD45 (LCA) when used in conjunction with markers to EMA are useful in labeling cells of lymphoid origin, whereas the combination of anti-cytokeratin antibodies together with EMA is useful to characterize cells of epithelial origin. EMA is also notably described to be expressed in a subset of Hodgkin's lymphomas.

Disclaimer
Epithelial Membrane Antigen is recommended for the detection of specific antigens of interest in normal and neoplastic tissues, as an adjunct to conventional histopathology using non-immunologic histochemical stains.

Products

Products

EMA-L-CE
1ml NCL-L-EMA
PA0035
7ml EMA Bond RTU Primary

Downloads

Downloads

EMA-L-CE

PA0035

Recently Viewed